跨省转诊获新生 国文医院个体化免疫联合化疗规范诊疗高龄晚期小细胞肺癌



胸部肿瘤外科 > 新闻   阅读:10 次

近日,长春国文医院胸外科成功为一名跨省转诊的72岁晚期小细胞肺癌女性患者实施个体化化疗联合免疫治疗方案。此次高难度救治的成功,充分彰显了国文医院胸外科在老年晚期小细胞肺癌综合治疗领域的技术领先性与多学科协同救治能力,为跨省疑难重症患者搭建了高效、精准的生命救治通道。

该患者来自外省,因持续性咳嗽、胸闷伴乏力就诊,经当地医院检查考虑肺癌,因患者高龄、基础疾病复杂及肿瘤恶性程度高,常规治疗风险大、预后不佳。家属经多方咨询后,慕名转诊至长春国文医院胸外科。



在原北京大学肿瘤医院党委副书记、胸部肿瘤中心主任,现任国文医疗集团院长、胸部肿瘤中心主任杨跃教授的带领下,科室第一时间启动肺癌多学科(MDT)会诊,联合肿瘤内科、影像科、病理科精准评估患者病情、免疫状态及耐受能力。针对老年女性患者生理特点与晚期小细胞肺癌生物学特性,摒弃传统一刀切方案,制定“精准化疗+免疫检查点抑制剂”个体化方案,同步配套营养支持、不良反应防控及心理干预全流程管理体系。



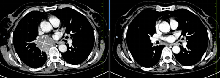
治疗中,团队严格遵循循证医学与国内最新指南,选用低毒高效化疗药物联合PD-L1抑制剂,既保证肿瘤杀伤效力,又最大程度降低骨髓抑制、胃肠道反应等老年患者不耐受风险。经6周期规范治疗,患者复查胸部CT显示肺部原发病灶缩小超80%,纵隔转移淋巴结明显消退,咳嗽、胸闷症状消失,体能状态从治疗前卧床不起恢复至可自主活动,达到该年龄段晚期小细胞肺癌患者的理想治疗反应。

老年晚期小细胞肺癌因恶性程度高、进展快、患者耐受性差,长期属临床治疗难点。

长春国文医院胸外科突破传统局限,将前沿免疫治疗与精准化疗深度融合,形成核心技术优势。科室常态化对接北京大学肿瘤医院诊疗体系,同步国际最新进展,构建“术前精准评估—术中规范施治—术后全程管理”的晚期肺癌综合治疗模式。针对跨省患者,开通绿色转诊通道,实现病历资料互认、检查结果共享,缩短就诊等待时间,确保重症患者第一时间接受规范治疗。

此次救治成功核心在于科室对老年患者个体化把控与前沿方案精准应用,一方面,团队深耕老年肿瘤患者病理生理特点,建立专属化疗免疫治疗剂量滴定体系,平衡疗效与安全;另一方面,熟练应用免疫联合化疗一线方案,治疗期间未出现严重免疫相关不良反应,充分体现科室在复杂病例用药管理、并发症防控方面的精湛水平。

未来,长春国文医院胸外科将持续深耕小细胞肺癌等胸部肿瘤综合治疗研究,不断优化老年、晚期、复杂病例诊疗方案,加强多学科协作与跨省医疗服务能力,以更精准技术、更人文关怀,为更多肺癌患者带来长期生存希望与更高生活质量,助力区域胸部肿瘤诊疗水平持续提升。


关注订阅号 了解更多咨询

搜索医生
+
寻找适合您的医生,评估您的医疗需求。
预约挂号
+

微信扫码预约

您可致电24小时服务中心(96120)预约医生。
联系我们
-
24小时服务电话
96120
投诉信箱
csc@int.gwmc.cn
血管外科 Vascular Surgery
泌尿外科 Urology Surgery
淋巴瘤/血液病 Lymphoma / Hematological Disease
胸部肿瘤外科 Thoracic Tumor Surgery
胸部肿瘤放化疗I Chest Tumor Chemotherapy
胸部肿瘤放化疗Ⅱ Chest Tumor Chemotherapy
胸部肿瘤放化疗Ⅲ Chest Tumor Chemotherapy
介入治疗科 Interventional Therapy Center
肝胆胰/腹膜后肿瘤外科/甲状腺外科 Hepatobiliary Pancreatic/Retroperitoneal Tumor Surgery/Thyroid Surgery
消化道肿瘤放化疗I Chemoradiotherapy for Digestive Tract Tumors I
消化道肿瘤放化疗II Chemoradiotherapy for Digestive Tract Tumors II
胃肠外科/疝与腹壁外科 Gastrointestinal surgery/Hernia and abdominal wall surgery
结直肠外科/肛肠外科/盆底康复 Colorectal surgery/Anorectal surgery/Pelvic floor rehabilitation
头颈/食管肿瘤放化疗 Radiotherapy and chemotherapy for head and neck/esophageal tumors
核医学科 Nuclear Medicine Department
放射治疗中心 Radiotherapy Center
乳腺肿瘤诊疗中心 Breast cancer treatment center
妇科肿瘤放/化疗 Radiotherapy/Chemotherapy for Gynecological Tumors
眼/耳鼻咽喉外科 Eye/Ear Nose and Throat Surgery
妇科 Gynaecology
儿科 Pediatrics
产科 Obstetrics Department
电诊科 Electrodiagnosis Department
手术中心 Operation Center
康复中心 Rehabilitation Center
急救中心 First Aid Center
临床检验中心 Clinical Testing Center
医学影像中心 Medical Imaging Center
日本精益体检 Physical Examination Japan
内科特需病区 Internal Medicine Special Needs Ward
肾病/中毒内科 Internal Medicine Department of Nephrosis
神经内科 Department of Neurology
呼吸内科 Respiratory Medicine
呼吸与危重症医学科 Respiratory and Critical Care Medicine Department
消化内科 GI Medicine
神经外科 Neurosurgery
骨科 Orthopaedics
口腔科 Dental Department
皮肤科 Dermatology
中医科 Traditional Chinese Medicine department
心血管内科 Cardiovascular Medicine
CCU CCU
ICU ICU
内分泌代谢病科 Endocrine and Metabolic Diseases
病理科 Pathology Department
内镜中心 Endoscopy Center
健康体检中心 Health Examination Center
生殖医学中心 Reproductive Medicine Center



Copyright © 2017 by CopyGuowen medical .co. All rights reserved     吉公网安备 22010202001049号  吉ICP备2021003606号