近日,长春国文医院胸外科穿刺团队迎难而上、精准施策,成功为一名88岁高龄患者完成CT引导下经皮肺病灶穿刺活检术。为高龄复杂肺部病变的微创诊疗再添成功范例,全力守护了高龄患者的生命健康与诊疗安全。

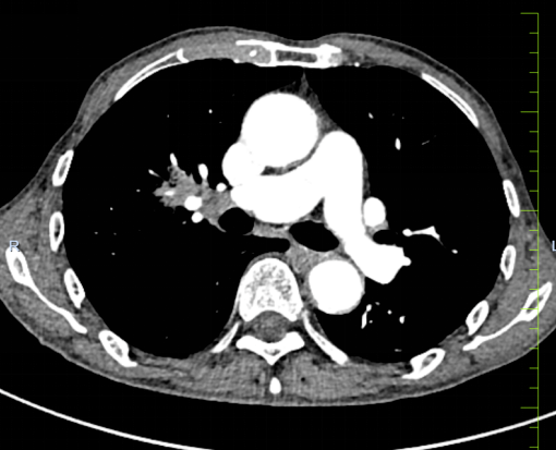
此次接受穿刺的患者已是高龄,检查后发现,患者右肺存在明确占位性病灶,且病灶周边血管分支异常密集,属于典型的富血供病灶。这一特殊病灶情况,给穿刺操作带来极大隐患:穿刺针尖只要出现微小偏差,就极易刺破周边血管,引发大出血、血气胸等严重并发症,甚至直接危及患者生命,堪称临床穿刺的“高危禁区”。
既要突破富血供病灶的穿刺风险,又要兼顾高龄患者的身体耐受度,同时还要确保取到合格、有效的病理组织,为后续明确病灶性质、制定治疗方案提供支撑,三大难题交织,成为必须攻克的难关。
术前,团队借助增强CT三维重建,精细分析病灶与周围血管、胸膜的关系,规划最优穿刺路径,并设定进针角度、深度与速度。针对患者高龄易紧张的特点,医护人员还进行一对一呼吸训练,帮助其平稳配合。

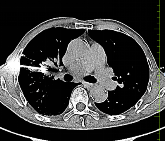
手术当日,在CT精准定位下,穿刺针一次性抵达病灶核心,成功获取足量病理组织,术中无渗血、无血管损伤。术后复查CT显示无出血、气胸等并发症,患者全程清醒,生命体征平稳。
此次手术的成功,体现了医院在复杂高危肺病变微创诊疗领域的技术实力。CT引导下经皮肺穿刺活检是肺部占位诊断的“金标准”,通过术前精准评估、术中精细操作、术后精心护理,不仅实现了安全穿刺、零严重并发症,更为后续明确病理分型及制定靶向、保守等个性化治疗方案提供了关键依据。
未来,长春国文医院胸外科将持续深耕微创介入诊疗技术,不断攻克各类疑难高危病例,聚焦高龄、重症、复杂疾病患者的诊疗需求,以更精准、更安全、更人性化的医疗服务,为广大患者打通精准诊断、有效治疗的生命通道,用专业医术守护更多家庭的健康与希望。
微信扫码预约

吉公网安备 22010202001049号 吉ICP备2021003606号