很多人拿到腹部CT报告,看到“回盲部囊性占位,考虑阑尾粘液性肿瘤”时,心里都会“咯噔”一下。“肿瘤”两个字,足以让人瞬间紧张。
其实,这个病并没有想象中那么可怕。今天,我们通过长春国文医院的一例真实病例,带您看懂阑尾粘液瘤的真相,看看长春国文医院影像中心如何为患者精准“指路”。
阑尾粘液瘤是什么?
阑尾粘液瘤就是阑尾内的细胞出现异常,大量分泌粘液,在阑尾里越积越多,形成一个“粘液囊包”。
它主要分两种:
1.低级别粘液性肿瘤:偏良性,生长缓慢,转移风险低,但一旦破裂会带来麻烦。
2.高级别/粘液腺癌:恶性程度较高,需要规范治疗。
多数患者是在体检或因腹痛查CT时偶然发现,早期通常没有明显症状。

*长春国文医院德国西门子NEW FORCE双源CT
国文医院影像中心 精准诊断的“火眼金睛”
长春国文医院影像中心汇聚了一支经验丰富的影像诊断团队,配备国际领先的影像设备,为临床精准诊疗提供坚实保障。
中心优势:
1.高端设备:配备多台高端CT、MRI等先进影像设备,能够实现亚毫米级高分辨率成像,清晰捕捉微小病灶。
2.先进技术:常规开展多期增强扫描、三维重建、CT血管成像等高级成像技术,全方位呈现病灶形态、血供特点及与周围组织的关系。
3.专家团队:由资深影像诊断专家领衔,在腹部肿瘤、疑难病例鉴别诊断方面积累了丰富经验。
病例介绍
CT影像如何“锁定”病灶
一位在我院确诊的患者,影像中心团队通过高精度CT扫描,清晰捕捉到病灶的每一个细节:

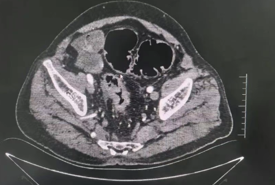
*患者CT轴位影像图
1.轴位图像(上图):右下腹阑尾区可见一个囊性包块,大小约53×40mm,内部密度低,充满粘液。影像中心医生凭借丰富经验,第一时间将病灶定位至阑尾起源。
2.增强扫描(上图):增强后仅囊壁轻微强化,内部粘液无强化。我院采用的多期增强扫描技术,精准呈现了这一典型特征,为鉴别诊断提供了关键依据。
3.冠状位三维重建(上图):从整体视角看,肿块边界清楚,位于阑尾位置,未侵犯周围组织。三维重建技术清晰展示了病灶与周围脏器的解剖关系,为手术方案制定提供了精准导航。
4.边缘钙化(上图):病灶边缘可见弧线样钙化,这是粘液性肿瘤非常典型的CT表现,影像中心团队准确捕捉并报告了这一关键征象。
术后病理(上图):证实为阑尾低级别粘液性肿瘤。影像诊断与病理结果高度吻合,充分体现了我院影像中心在腹部肿瘤影像诊断领域的技术实力。
发现后该怎么办?
在长春国文医院,影像中心建立了从精准诊断到规范治疗的一体化流程:
1.精准诊断:影像中心出具详细报告,明确病灶特征,并与阑尾周围脓肿、回盲部囊肿、盲肠癌等疾病进行精准鉴别
2.多学科会诊:影像中心、普外科、病理科共同制定个体化治疗方案
3.规范手术:由经验丰富的普外科团队实施手术,完整切除病灶
4.病理确诊:术后送病理检查,明确肿瘤分级
5.定期随访:低级别者术后定期复查CT;高级别者按规范进行后续治疗
阑尾粘液瘤通俗来说就是阑尾里长了个“粘液水泡”,在CT上典型表现为囊性、低密度、少强化、边缘钙化。临床上以低级别最为常见,手术切除效果良好,只要早发现、早处理,整体预后理想,因此面对这一诊断不必过度恐慌。
微信扫码预约

吉公网安备 22010202001049号 吉ICP备2021003606号